Nguyên nhân gây sâu răng ở trẻ và cách phòng tránh
Thứ sáu , 14/05/2021 10:19
Thứ sáu , 14/05/2021 10:19
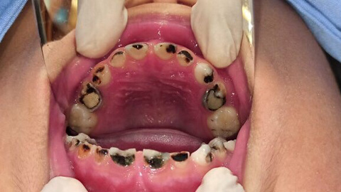
Về cấu tạo, răng sữa của trẻ có men răng và ngà răng mỏng, yếu hơn răng của người lớn rất nhiều. Vì vậy rất dễ bị vi khuẩn tấn công hình thành lỗ sâu răng.

Sâu răng ẩn chứa nhiều nguy cơ về sức khỏe toàn thân, chi phí khắc phục lại vô cùng tốn kém.
Theo thông tin từ Suckhoedoisong.vn, TS.BS. Nguyễn Thị Châu (Trung tâm Kỹ thuật cao khám chữa bệnh Răng hàm mặt - Đại học Y Hà Nội) cho biết: Chăm sóc răng miệng cho con trẻ là vấn đề mà các bậc cha mẹ rất mực quan tâm. Bởi lẽ răng miệng liên quan mật thiết đến vấn đề sức khỏe và thẩm mỹ của trẻ sau này.
Chính vì vậy, để hiểu được nguyên nhân và cách phòng bệnh sâu răng ở trẻ cũng như cách chăm sóc đúng cách là vô cùng quan trọng.
Sâu răng là tình trạng răng bị tổn thương do vi khuẩn trong khoang miệng. Ban đầu, vi khuẩn trong thức ăn còn sót lại trên răng kết dính với nước bọt tạo thành mảng bám và phủ lên răng. Khi trẻ ăn, đặc biệt là những thức ăn từ tinh bột và đường, sẽ kết hợp với mảng bám để tạo ra acid, tấn công tổ chức cứng của răng làm mòn các chất vô cơ của men răng và ngà răng gây ra sâu răng.
Hiện nay, tỷ lệ sâu răng sữa ở trẻ em từ sớm đã là tình trạng đáng báo động ở nhiều nước trên thế giới. Trong đó có Việt Nam. Theo thống kê, có đến 23% trẻ em ở Mỹ bị sâu răng sữa. Con số này ở Anh là 28% và Trung Quốc là 57%. Về cấu tạo, răng sữa của trẻ có men răng và ngà răng mỏng, yếu hơn răng của người lớn rất nhiều. Vì vậy rất dễ bị vi khuẩn tấn công hình thành lỗ sâu răng.
Nguyên nhân gây sâu răng ở trẻ em
Khi chúng ta ăn, một số mảnh vụn thức ăn mắc kẹt và nằm lại trong các kẽ răng. Vi khuẩn cư trú trong khoang miệng sẽ lên men carbohydrate có trong các mảnh vụn thức ăn, tạo ra axit. Axit tấn công, gây tổn thương cho men răng dẫn đến sâu răng. Một số nguyên nhân gây sâu răng ở trẻ em chủ yếu bao gồm:
1. Thói quen ăn nhiều đồ ngọt
Nguyên nhân gây sâu răng ở trẻ em phần lớn là do thói quen ăn uống. Hàm lượng đường cao trong những thực phẩm mà trẻ ăn gây ảnh hưởng đến răng của trẻ. Trẻ em thường thích ăn đồ ngọt, sôcôla, kem và các loại thực phẩm chứa nhiều đường nên chúng rất dễ bị sâu răng.
Ngoài ra, việc trẻ uống nước trái cây, nước ngọt, sữa… cũng có thể gây sâu răng.
2. Thói quen chăm sóc răng miệng
Chải răng không đúng cách, không đủ thời gian, không được bố mẹ kiểm tra lại, cũng là nguyên nhân gây sâu răng thường gặp ở trẻ. Đồng thời, trẻ không sử dụng chỉ tơ nha khoa, nước súc miệng,.. khiến răng không được làm sạch đầy đủ cũng làm tăng nguy cơ sâu răng ở trẻ.
3. Thói quen bú bình vào ban đêm
Những bé có thói quen bú bình vào ban đêm rất dễ bị sâu răng. Nguyên do là sữa có chứa đường và có thể bám trên răng hàng giờ, tạo điều kiện thuận lợi cho vi khuẩn phát triển.
4. Thiếu fluoride
Fluoride là một khoáng chất tự nhiên có mặt trong nhiều loại thực phẩm và nước, có tác dụng bảo vệ răng, giúp phục hồi tổn thương răng trong giai đoạn đầu. Khoáng chất này được bổ sung vào nước máy, kem đánh răng và nước súc miệng. Những trẻ sử dụng nước không có bổ sung fluoride, dùng kem đánh răng không chứa fluoride thường có nguy cơ sâu răng hơn những trẻ khác.
5. Các vấn đề về sức khoẻ
Khi trẻ có những vấn đề về hô hấp dẫn đến khó hít thở bằng mũi mà phải thở bằng miệng cũng làm tăng nguy cơ sâu răng. Do nước bọt là yếu tố chính chống lại sâu răng. Dòng chảy và tốc độ lưu chuyển của nước bọt giúp lấy đi các mảnh thức ăn còn sót lại và vi khuẩn nên khi trẻ phải thở bằng miệng sẽ dẫn đến khô miệng. Khô miệng là một trong những nguy cơ làm gia tăng tình trạng sâu răng.
Chăm sóc răng miệng cho trẻ đúng cách
Sơ sinh đến 12 tháng: Giữ vệ sinh răng miệng cho trẻ bằng cách lau nhẹ phần nướu lợi bằng khăn sạch. Khi chiếc răng sữa đầu tiên của con xuất hiện, nên sử dụng một bàn chải đánh răng mềm để làm sạch nhẹ nhàng.
Từ 12 đến 36 tháng: Đánh răng cho trẻ 2 lần mỗi ngày, mỗi lần 2 phút với bàn chải mềm và kem đánh răng có fluor với liều lượng thấp. Thời điểm tốt nhất để chải răng là sau khi ăn sáng và trước khi đi ngủ.
Hạn chế số lượng thức ăn ngọt hoặc dính mà con ăn như kẹo, kẹo dẻo, bánh cuộn trái cây hoặc bánh quy. Đường cũng có trong thực phẩm như bánh quy giòn và khoai tây chiên. Những thực phẩm này đặc biệt không tốt nếu con bạn ăn vặt nhiều. Chúng chỉ nên được ăn vào bữa ăn. Dạy con sử dụng lưỡi của mình để làm sạch thức ăn ngay lập tức khỏi kẽ răng.
Nên cho con đi khám răng trước 1 tuổi. Các nghiên cứu khuyến cáo nên cho con đi khám từ khi con có những chiếc răng dầu tiên, từ đó giúp phát hiện sớm các vấn đề bất thường, các dấu hiệu sớm của sâu răng, điều trị kịp thời, thực hiện các biện pháp dự phòng sâu răng, cũng như tư vấn cho bạn chế độ ăn và chăm sóc vệ sinh răng miệng phù hợp để giúp giữ cho con bạn một hàm răng khỏe mạnh. Cần ghi nhớ răng sâu răng có thể được ngăn ngừa.
P.VÂN (TỔNG HỢP)
Bài viết gốc: http://daidoanket.vn/nguyen-nhan-gay-sau-rang-o-tre-va-cach-phong-tranh-5640308.html
Nguồn: daiđoanket.vn