Kết quả tìm kiếm từ khóa: điều trị ung thư dạ dày

Gia tăng bệnh nhân trẻ tuổi mắc ung thư đại trực tràng

10/13/2023 7:52:36 AM

Ung thư đại trực tràng là loại ung thư phổ biến thứ 2 trên thế giới, chỉ sau ung thư phổi. Tại Việt Nam, thống kê cho thấy, mỗi năm ghi nhận gần 16.000 ca mắc mới và hơn 8.200 ca tử vong vì căn bệnh này.

Gánh nặng bệnh tật do bệnh không lây nhiễm rất lớn

9/22/2023 8:06:03 AM

Đây là nhấn mạnh của các đại biểu tại Hội thảo cung cấp thông tin cho báo chí về giải pháp phòng ngừa các bệnh không lây nhiễm do Bộ Thông tin -Truyền thông phối hợp với Tổ chức HealthBridge Canada tổ chức tại Hải Phòng từ ngày 20-22/9.

Phát hiện khả năng trị khỏi HIV của một loại thuốc sẵn có

8/31/2023 10:56:22 AM

Việc tìm ra khả năng tiêu diệt tế bào HIV "im lặng" của một loại thuốc trị ung thư hứa hẹn tạo ra bước ngoặt trong cuộc chiến chống HIV/AIDS.

Anh triển khai thuốc trị ung thư "7 phút" đầu tiên trên thế giới

8/30/2023 10:27:34 AM

Dịch vụ Y tế Quốc gia Anh (NHS) trở thành cơ quan y tế đầu tiên trên thế giới cung cấp thuốc điều trị cho bệnh nhân ung thư dưới hình thức đơn giản như một mũi tiêm vắc-xin.

Mỹ: Thử nghiệm thành công "thần dược" tiêu diệt 70 loại ung thư

8/2/2023 10:52:04 AM

Các nhà nghiên cứu từ Bệnh viện City of Hope (Los Angeles - Mỹ) tin tưởng rằng loại thuốc mới mà họ phát triển có thể tiêu diệt tất cả các khối u rắn trong bệnh ung thư.

Đột phá từ Mỹ: Tìm ra cách khiến tế bào ung thư tự hủy

8/1/2023 3:05:08 PM

Tế bào ung thư biến đổi để trở nên "bất tử" nhưng các nhà khoa học từ Đại học Stanford (Mỹ) đã thiết kế một loại phân tử nhỏ làm đảo ngược quá trình này.

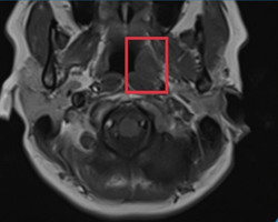
Cẩn trọng với loại ung thư nguy hiểm nhưng có triệu chứng mơ hồ

7/31/2023 2:48:14 PM

Nữ bệnh nhân 44 tuổi bỗng thấy đau đầu nhiều, kéo dài khoảng 1 tháng, càng về sau cơn đau càng dữ dội kèm theo chóng mặt.

Sai lầm khi điều trị ung thư bằng thực dưỡng

7/28/2023 8:10:57 AM

Dù được giới chuyên môn cảnh báo, phương pháp thực dưỡng không thể điều trị hết bệnh ung thư hay bệnh mãn tính, song không ít người dân vẫn áp dụng thực dưỡng với mong muốn loại bỏ khối u.

Phát hiện yếu tố gây ung thư dạ dày mới, nhiều người mắc phải

7/19/2023 1:57:41 PM

Một loại vi khuẩn khá khó trị, thường gây đau bụng, đầy hơi, ợ chua... còn làm tăng đáng kể nguy cơ ung thư dạ dày - các nhà khoa học Nhật Bản vừa chứng minh.

Lý do đáng sợ khiến ung thư dạ dày đặc biệt phổ biến ở châu Á

7/5/2023 8:34:39 AM

Ung thư dạ dày là loại ung thư phổ biến thứ 5 thế giới và người châu Á có tỉ lệ mắc cao nhất. Các nhà khoa học Hàn Quốc và Trung Quốc đã phối hợp tìm ra nguyên nhân gây giật mình.

Gia tăng bệnh nhân trẻ tuổi mắc ung thư đại trực tràng

10/13/2023 7:52:36 AM

Ung thư đại trực tràng là loại ung thư phổ biến thứ 2 trên thế giới, chỉ sau ung thư phổi. Tại Việt Nam, thống kê cho thấy, mỗi năm ghi nhận gần 16.000 ca mắc mới và hơn 8.200 ca tử vong vì căn bệnh này.

Gánh nặng bệnh tật do bệnh không lây nhiễm rất lớn

9/22/2023 8:06:03 AM

Đây là nhấn mạnh của các đại biểu tại Hội thảo cung cấp thông tin cho báo chí về giải pháp phòng ngừa các bệnh không lây nhiễm do Bộ Thông tin -Truyền thông phối hợp với Tổ chức HealthBridge Canada tổ chức tại Hải Phòng từ ngày 20-22/9.

Phát hiện khả năng trị khỏi HIV của một loại thuốc sẵn có

8/31/2023 10:56:22 AM

Việc tìm ra khả năng tiêu diệt tế bào HIV "im lặng" của một loại thuốc trị ung thư hứa hẹn tạo ra bước ngoặt trong cuộc chiến chống HIV/AIDS.

Anh triển khai thuốc trị ung thư "7 phút" đầu tiên trên thế giới

8/30/2023 10:27:34 AM

Dịch vụ Y tế Quốc gia Anh (NHS) trở thành cơ quan y tế đầu tiên trên thế giới cung cấp thuốc điều trị cho bệnh nhân ung thư dưới hình thức đơn giản như một mũi tiêm vắc-xin.

Mỹ: Thử nghiệm thành công "thần dược" tiêu diệt 70 loại ung thư

8/2/2023 10:52:04 AM

Các nhà nghiên cứu từ Bệnh viện City of Hope (Los Angeles - Mỹ) tin tưởng rằng loại thuốc mới mà họ phát triển có thể tiêu diệt tất cả các khối u rắn trong bệnh ung thư.

Đột phá từ Mỹ: Tìm ra cách khiến tế bào ung thư tự hủy

8/1/2023 3:05:08 PM

Tế bào ung thư biến đổi để trở nên "bất tử" nhưng các nhà khoa học từ Đại học Stanford (Mỹ) đã thiết kế một loại phân tử nhỏ làm đảo ngược quá trình này.

Cẩn trọng với loại ung thư nguy hiểm nhưng có triệu chứng mơ hồ

7/31/2023 2:48:14 PM

Nữ bệnh nhân 44 tuổi bỗng thấy đau đầu nhiều, kéo dài khoảng 1 tháng, càng về sau cơn đau càng dữ dội kèm theo chóng mặt.

Sai lầm khi điều trị ung thư bằng thực dưỡng

7/28/2023 8:10:57 AM

Dù được giới chuyên môn cảnh báo, phương pháp thực dưỡng không thể điều trị hết bệnh ung thư hay bệnh mãn tính, song không ít người dân vẫn áp dụng thực dưỡng với mong muốn loại bỏ khối u.

Phát hiện yếu tố gây ung thư dạ dày mới, nhiều người mắc phải

7/19/2023 1:57:41 PM

Một loại vi khuẩn khá khó trị, thường gây đau bụng, đầy hơi, ợ chua... còn làm tăng đáng kể nguy cơ ung thư dạ dày - các nhà khoa học Nhật Bản vừa chứng minh.

Lý do đáng sợ khiến ung thư dạ dày đặc biệt phổ biến ở châu Á

7/5/2023 8:34:39 AM

Ung thư dạ dày là loại ung thư phổ biến thứ 5 thế giới và người châu Á có tỉ lệ mắc cao nhất. Các nhà khoa học Hàn Quốc và Trung Quốc đã phối hợp tìm ra nguyên nhân gây giật mình.

Gia tăng bệnh nhân trẻ tuổi mắc ung thư đại trực tràng

10/13/2023 7:52:36 AM

Ung thư đại trực tràng là loại ung thư phổ biến thứ 2 trên thế giới, chỉ sau ung thư phổi. Tại Việt Nam, thống kê cho thấy, mỗi năm ghi nhận gần 16.000 ca mắc mới và hơn 8.200 ca tử vong vì căn bệnh này.

Gánh nặng bệnh tật do bệnh không lây nhiễm rất lớn

9/22/2023 8:06:03 AM

Đây là nhấn mạnh của các đại biểu tại Hội thảo cung cấp thông tin cho báo chí về giải pháp phòng ngừa các bệnh không lây nhiễm do Bộ Thông tin -Truyền thông phối hợp với Tổ chức HealthBridge Canada tổ chức tại Hải Phòng từ ngày 20-22/9.

Phát hiện khả năng trị khỏi HIV của một loại thuốc sẵn có

8/31/2023 10:56:22 AM

Việc tìm ra khả năng tiêu diệt tế bào HIV "im lặng" của một loại thuốc trị ung thư hứa hẹn tạo ra bước ngoặt trong cuộc chiến chống HIV/AIDS.

Anh triển khai thuốc trị ung thư "7 phút" đầu tiên trên thế giới

8/30/2023 10:27:34 AM

Dịch vụ Y tế Quốc gia Anh (NHS) trở thành cơ quan y tế đầu tiên trên thế giới cung cấp thuốc điều trị cho bệnh nhân ung thư dưới hình thức đơn giản như một mũi tiêm vắc-xin.

Mỹ: Thử nghiệm thành công "thần dược" tiêu diệt 70 loại ung thư

8/2/2023 10:52:04 AM

Các nhà nghiên cứu từ Bệnh viện City of Hope (Los Angeles - Mỹ) tin tưởng rằng loại thuốc mới mà họ phát triển có thể tiêu diệt tất cả các khối u rắn trong bệnh ung thư.

Đột phá từ Mỹ: Tìm ra cách khiến tế bào ung thư tự hủy

8/1/2023 3:05:08 PM

Tế bào ung thư biến đổi để trở nên "bất tử" nhưng các nhà khoa học từ Đại học Stanford (Mỹ) đã thiết kế một loại phân tử nhỏ làm đảo ngược quá trình này.

Cẩn trọng với loại ung thư nguy hiểm nhưng có triệu chứng mơ hồ

7/31/2023 2:48:14 PM

Nữ bệnh nhân 44 tuổi bỗng thấy đau đầu nhiều, kéo dài khoảng 1 tháng, càng về sau cơn đau càng dữ dội kèm theo chóng mặt.

Sai lầm khi điều trị ung thư bằng thực dưỡng

7/28/2023 8:10:57 AM

Dù được giới chuyên môn cảnh báo, phương pháp thực dưỡng không thể điều trị hết bệnh ung thư hay bệnh mãn tính, song không ít người dân vẫn áp dụng thực dưỡng với mong muốn loại bỏ khối u.

Phát hiện yếu tố gây ung thư dạ dày mới, nhiều người mắc phải

7/19/2023 1:57:41 PM

Một loại vi khuẩn khá khó trị, thường gây đau bụng, đầy hơi, ợ chua... còn làm tăng đáng kể nguy cơ ung thư dạ dày - các nhà khoa học Nhật Bản vừa chứng minh.

Lý do đáng sợ khiến ung thư dạ dày đặc biệt phổ biến ở châu Á

7/5/2023 8:34:39 AM

Ung thư dạ dày là loại ung thư phổ biến thứ 5 thế giới và người châu Á có tỉ lệ mắc cao nhất. Các nhà khoa học Hàn Quốc và Trung Quốc đã phối hợp tìm ra nguyên nhân gây giật mình.

Gia tăng bệnh nhân trẻ tuổi mắc ung thư đại trực tràng

10/13/2023 7:52:36 AM

Ung thư đại trực tràng là loại ung thư phổ biến thứ 2 trên thế giới, chỉ sau ung thư phổi. Tại Việt Nam, thống kê cho thấy, mỗi năm ghi nhận gần 16.000 ca mắc mới và hơn 8.200 ca tử vong vì căn bệnh này.

Gánh nặng bệnh tật do bệnh không lây nhiễm rất lớn

9/22/2023 8:06:03 AM

Đây là nhấn mạnh của các đại biểu tại Hội thảo cung cấp thông tin cho báo chí về giải pháp phòng ngừa các bệnh không lây nhiễm do Bộ Thông tin -Truyền thông phối hợp với Tổ chức HealthBridge Canada tổ chức tại Hải Phòng từ ngày 20-22/9.

Phát hiện khả năng trị khỏi HIV của một loại thuốc sẵn có

8/31/2023 10:56:22 AM

Việc tìm ra khả năng tiêu diệt tế bào HIV "im lặng" của một loại thuốc trị ung thư hứa hẹn tạo ra bước ngoặt trong cuộc chiến chống HIV/AIDS.

Anh triển khai thuốc trị ung thư "7 phút" đầu tiên trên thế giới

8/30/2023 10:27:34 AM

Dịch vụ Y tế Quốc gia Anh (NHS) trở thành cơ quan y tế đầu tiên trên thế giới cung cấp thuốc điều trị cho bệnh nhân ung thư dưới hình thức đơn giản như một mũi tiêm vắc-xin.

Mỹ: Thử nghiệm thành công "thần dược" tiêu diệt 70 loại ung thư

8/2/2023 10:52:04 AM

Các nhà nghiên cứu từ Bệnh viện City of Hope (Los Angeles - Mỹ) tin tưởng rằng loại thuốc mới mà họ phát triển có thể tiêu diệt tất cả các khối u rắn trong bệnh ung thư.

Đột phá từ Mỹ: Tìm ra cách khiến tế bào ung thư tự hủy

8/1/2023 3:05:08 PM

Tế bào ung thư biến đổi để trở nên "bất tử" nhưng các nhà khoa học từ Đại học Stanford (Mỹ) đã thiết kế một loại phân tử nhỏ làm đảo ngược quá trình này.

Cẩn trọng với loại ung thư nguy hiểm nhưng có triệu chứng mơ hồ

7/31/2023 2:48:14 PM

Nữ bệnh nhân 44 tuổi bỗng thấy đau đầu nhiều, kéo dài khoảng 1 tháng, càng về sau cơn đau càng dữ dội kèm theo chóng mặt.

Sai lầm khi điều trị ung thư bằng thực dưỡng

7/28/2023 8:10:57 AM

Dù được giới chuyên môn cảnh báo, phương pháp thực dưỡng không thể điều trị hết bệnh ung thư hay bệnh mãn tính, song không ít người dân vẫn áp dụng thực dưỡng với mong muốn loại bỏ khối u.

Phát hiện yếu tố gây ung thư dạ dày mới, nhiều người mắc phải

7/19/2023 1:57:41 PM

Một loại vi khuẩn khá khó trị, thường gây đau bụng, đầy hơi, ợ chua... còn làm tăng đáng kể nguy cơ ung thư dạ dày - các nhà khoa học Nhật Bản vừa chứng minh.

Lý do đáng sợ khiến ung thư dạ dày đặc biệt phổ biến ở châu Á

7/5/2023 8:34:39 AM

Ung thư dạ dày là loại ung thư phổ biến thứ 5 thế giới và người châu Á có tỉ lệ mắc cao nhất. Các nhà khoa học Hàn Quốc và Trung Quốc đã phối hợp tìm ra nguyên nhân gây giật mình.

Gia tăng bệnh nhân trẻ tuổi mắc ung thư đại trực tràng

10/13/2023 7:52:36 AM

Ung thư đại trực tràng là loại ung thư phổ biến thứ 2 trên thế giới, chỉ sau ung thư phổi. Tại Việt Nam, thống kê cho thấy, mỗi năm ghi nhận gần 16.000 ca mắc mới và hơn 8.200 ca tử vong vì căn bệnh này.

Gánh nặng bệnh tật do bệnh không lây nhiễm rất lớn

9/22/2023 8:06:03 AM

Đây là nhấn mạnh của các đại biểu tại Hội thảo cung cấp thông tin cho báo chí về giải pháp phòng ngừa các bệnh không lây nhiễm do Bộ Thông tin -Truyền thông phối hợp với Tổ chức HealthBridge Canada tổ chức tại Hải Phòng từ ngày 20-22/9.

Phát hiện khả năng trị khỏi HIV của một loại thuốc sẵn có

8/31/2023 10:56:22 AM

Việc tìm ra khả năng tiêu diệt tế bào HIV "im lặng" của một loại thuốc trị ung thư hứa hẹn tạo ra bước ngoặt trong cuộc chiến chống HIV/AIDS.

Anh triển khai thuốc trị ung thư "7 phút" đầu tiên trên thế giới

8/30/2023 10:27:34 AM

Dịch vụ Y tế Quốc gia Anh (NHS) trở thành cơ quan y tế đầu tiên trên thế giới cung cấp thuốc điều trị cho bệnh nhân ung thư dưới hình thức đơn giản như một mũi tiêm vắc-xin.

Mỹ: Thử nghiệm thành công "thần dược" tiêu diệt 70 loại ung thư

8/2/2023 10:52:04 AM

Các nhà nghiên cứu từ Bệnh viện City of Hope (Los Angeles - Mỹ) tin tưởng rằng loại thuốc mới mà họ phát triển có thể tiêu diệt tất cả các khối u rắn trong bệnh ung thư.

Đột phá từ Mỹ: Tìm ra cách khiến tế bào ung thư tự hủy

8/1/2023 3:05:08 PM

Tế bào ung thư biến đổi để trở nên "bất tử" nhưng các nhà khoa học từ Đại học Stanford (Mỹ) đã thiết kế một loại phân tử nhỏ làm đảo ngược quá trình này.

Cẩn trọng với loại ung thư nguy hiểm nhưng có triệu chứng mơ hồ

7/31/2023 2:48:14 PM

Nữ bệnh nhân 44 tuổi bỗng thấy đau đầu nhiều, kéo dài khoảng 1 tháng, càng về sau cơn đau càng dữ dội kèm theo chóng mặt.

Sai lầm khi điều trị ung thư bằng thực dưỡng

7/28/2023 8:10:57 AM

Dù được giới chuyên môn cảnh báo, phương pháp thực dưỡng không thể điều trị hết bệnh ung thư hay bệnh mãn tính, song không ít người dân vẫn áp dụng thực dưỡng với mong muốn loại bỏ khối u.

Phát hiện yếu tố gây ung thư dạ dày mới, nhiều người mắc phải

7/19/2023 1:57:41 PM

Một loại vi khuẩn khá khó trị, thường gây đau bụng, đầy hơi, ợ chua... còn làm tăng đáng kể nguy cơ ung thư dạ dày - các nhà khoa học Nhật Bản vừa chứng minh.

Lý do đáng sợ khiến ung thư dạ dày đặc biệt phổ biến ở châu Á

7/5/2023 8:34:39 AM

Ung thư dạ dày là loại ung thư phổ biến thứ 5 thế giới và người châu Á có tỉ lệ mắc cao nhất. Các nhà khoa học Hàn Quốc và Trung Quốc đã phối hợp tìm ra nguyên nhân gây giật mình.

Gia tăng bệnh nhân trẻ tuổi mắc ung thư đại trực tràng

10/13/2023 7:52:36 AM

Ung thư đại trực tràng là loại ung thư phổ biến thứ 2 trên thế giới, chỉ sau ung thư phổi. Tại Việt Nam, thống kê cho thấy, mỗi năm ghi nhận gần 16.000 ca mắc mới và hơn 8.200 ca tử vong vì căn bệnh này.

Gánh nặng bệnh tật do bệnh không lây nhiễm rất lớn

9/22/2023 8:06:03 AM

Đây là nhấn mạnh của các đại biểu tại Hội thảo cung cấp thông tin cho báo chí về giải pháp phòng ngừa các bệnh không lây nhiễm do Bộ Thông tin -Truyền thông phối hợp với Tổ chức HealthBridge Canada tổ chức tại Hải Phòng từ ngày 20-22/9.

Phát hiện khả năng trị khỏi HIV của một loại thuốc sẵn có

8/31/2023 10:56:22 AM

Việc tìm ra khả năng tiêu diệt tế bào HIV "im lặng" của một loại thuốc trị ung thư hứa hẹn tạo ra bước ngoặt trong cuộc chiến chống HIV/AIDS.

Anh triển khai thuốc trị ung thư "7 phút" đầu tiên trên thế giới

8/30/2023 10:27:34 AM

Dịch vụ Y tế Quốc gia Anh (NHS) trở thành cơ quan y tế đầu tiên trên thế giới cung cấp thuốc điều trị cho bệnh nhân ung thư dưới hình thức đơn giản như một mũi tiêm vắc-xin.

Mỹ: Thử nghiệm thành công "thần dược" tiêu diệt 70 loại ung thư

8/2/2023 10:52:04 AM

Các nhà nghiên cứu từ Bệnh viện City of Hope (Los Angeles - Mỹ) tin tưởng rằng loại thuốc mới mà họ phát triển có thể tiêu diệt tất cả các khối u rắn trong bệnh ung thư.

Đột phá từ Mỹ: Tìm ra cách khiến tế bào ung thư tự hủy

8/1/2023 3:05:08 PM

Tế bào ung thư biến đổi để trở nên "bất tử" nhưng các nhà khoa học từ Đại học Stanford (Mỹ) đã thiết kế một loại phân tử nhỏ làm đảo ngược quá trình này.

Cẩn trọng với loại ung thư nguy hiểm nhưng có triệu chứng mơ hồ

7/31/2023 2:48:14 PM

Nữ bệnh nhân 44 tuổi bỗng thấy đau đầu nhiều, kéo dài khoảng 1 tháng, càng về sau cơn đau càng dữ dội kèm theo chóng mặt.

Sai lầm khi điều trị ung thư bằng thực dưỡng

7/28/2023 8:10:57 AM

Dù được giới chuyên môn cảnh báo, phương pháp thực dưỡng không thể điều trị hết bệnh ung thư hay bệnh mãn tính, song không ít người dân vẫn áp dụng thực dưỡng với mong muốn loại bỏ khối u.

Phát hiện yếu tố gây ung thư dạ dày mới, nhiều người mắc phải

7/19/2023 1:57:41 PM

Một loại vi khuẩn khá khó trị, thường gây đau bụng, đầy hơi, ợ chua... còn làm tăng đáng kể nguy cơ ung thư dạ dày - các nhà khoa học Nhật Bản vừa chứng minh.

Lý do đáng sợ khiến ung thư dạ dày đặc biệt phổ biến ở châu Á

7/5/2023 8:34:39 AM

Ung thư dạ dày là loại ung thư phổ biến thứ 5 thế giới và người châu Á có tỉ lệ mắc cao nhất. Các nhà khoa học Hàn Quốc và Trung Quốc đã phối hợp tìm ra nguyên nhân gây giật mình.

Gia tăng bệnh nhân trẻ tuổi mắc ung thư đại trực tràng

10/13/2023 7:52:36 AM

Ung thư đại trực tràng là loại ung thư phổ biến thứ 2 trên thế giới, chỉ sau ung thư phổi. Tại Việt Nam, thống kê cho thấy, mỗi năm ghi nhận gần 16.000 ca mắc mới và hơn 8.200 ca tử vong vì căn bệnh này.

Gánh nặng bệnh tật do bệnh không lây nhiễm rất lớn

9/22/2023 8:06:03 AM

Đây là nhấn mạnh của các đại biểu tại Hội thảo cung cấp thông tin cho báo chí về giải pháp phòng ngừa các bệnh không lây nhiễm do Bộ Thông tin -Truyền thông phối hợp với Tổ chức HealthBridge Canada tổ chức tại Hải Phòng từ ngày 20-22/9.

Phát hiện khả năng trị khỏi HIV của một loại thuốc sẵn có

8/31/2023 10:56:22 AM

Việc tìm ra khả năng tiêu diệt tế bào HIV "im lặng" của một loại thuốc trị ung thư hứa hẹn tạo ra bước ngoặt trong cuộc chiến chống HIV/AIDS.

Anh triển khai thuốc trị ung thư "7 phút" đầu tiên trên thế giới

8/30/2023 10:27:34 AM

Dịch vụ Y tế Quốc gia Anh (NHS) trở thành cơ quan y tế đầu tiên trên thế giới cung cấp thuốc điều trị cho bệnh nhân ung thư dưới hình thức đơn giản như một mũi tiêm vắc-xin.

Mỹ: Thử nghiệm thành công "thần dược" tiêu diệt 70 loại ung thư

8/2/2023 10:52:04 AM

Các nhà nghiên cứu từ Bệnh viện City of Hope (Los Angeles - Mỹ) tin tưởng rằng loại thuốc mới mà họ phát triển có thể tiêu diệt tất cả các khối u rắn trong bệnh ung thư.

Đột phá từ Mỹ: Tìm ra cách khiến tế bào ung thư tự hủy

8/1/2023 3:05:08 PM

Tế bào ung thư biến đổi để trở nên "bất tử" nhưng các nhà khoa học từ Đại học Stanford (Mỹ) đã thiết kế một loại phân tử nhỏ làm đảo ngược quá trình này.

Cẩn trọng với loại ung thư nguy hiểm nhưng có triệu chứng mơ hồ

7/31/2023 2:48:14 PM

Nữ bệnh nhân 44 tuổi bỗng thấy đau đầu nhiều, kéo dài khoảng 1 tháng, càng về sau cơn đau càng dữ dội kèm theo chóng mặt.

Sai lầm khi điều trị ung thư bằng thực dưỡng

7/28/2023 8:10:57 AM

Dù được giới chuyên môn cảnh báo, phương pháp thực dưỡng không thể điều trị hết bệnh ung thư hay bệnh mãn tính, song không ít người dân vẫn áp dụng thực dưỡng với mong muốn loại bỏ khối u.

Phát hiện yếu tố gây ung thư dạ dày mới, nhiều người mắc phải

7/19/2023 1:57:41 PM

Một loại vi khuẩn khá khó trị, thường gây đau bụng, đầy hơi, ợ chua... còn làm tăng đáng kể nguy cơ ung thư dạ dày - các nhà khoa học Nhật Bản vừa chứng minh.

Lý do đáng sợ khiến ung thư dạ dày đặc biệt phổ biến ở châu Á

7/5/2023 8:34:39 AM

Ung thư dạ dày là loại ung thư phổ biến thứ 5 thế giới và người châu Á có tỉ lệ mắc cao nhất. Các nhà khoa học Hàn Quốc và Trung Quốc đã phối hợp tìm ra nguyên nhân gây giật mình.

Gia tăng bệnh nhân trẻ tuổi mắc ung thư đại trực tràng

10/13/2023 7:52:36 AM

Ung thư đại trực tràng là loại ung thư phổ biến thứ 2 trên thế giới, chỉ sau ung thư phổi. Tại Việt Nam, thống kê cho thấy, mỗi năm ghi nhận gần 16.000 ca mắc mới và hơn 8.200 ca tử vong vì căn bệnh này.

Gánh nặng bệnh tật do bệnh không lây nhiễm rất lớn

9/22/2023 8:06:03 AM

Đây là nhấn mạnh của các đại biểu tại Hội thảo cung cấp thông tin cho báo chí về giải pháp phòng ngừa các bệnh không lây nhiễm do Bộ Thông tin -Truyền thông phối hợp với Tổ chức HealthBridge Canada tổ chức tại Hải Phòng từ ngày 20-22/9.

Phát hiện khả năng trị khỏi HIV của một loại thuốc sẵn có

8/31/2023 10:56:22 AM

Việc tìm ra khả năng tiêu diệt tế bào HIV "im lặng" của một loại thuốc trị ung thư hứa hẹn tạo ra bước ngoặt trong cuộc chiến chống HIV/AIDS.

Anh triển khai thuốc trị ung thư "7 phút" đầu tiên trên thế giới

8/30/2023 10:27:34 AM

Dịch vụ Y tế Quốc gia Anh (NHS) trở thành cơ quan y tế đầu tiên trên thế giới cung cấp thuốc điều trị cho bệnh nhân ung thư dưới hình thức đơn giản như một mũi tiêm vắc-xin.

Mỹ: Thử nghiệm thành công "thần dược" tiêu diệt 70 loại ung thư

8/2/2023 10:52:04 AM

Các nhà nghiên cứu từ Bệnh viện City of Hope (Los Angeles - Mỹ) tin tưởng rằng loại thuốc mới mà họ phát triển có thể tiêu diệt tất cả các khối u rắn trong bệnh ung thư.

Đột phá từ Mỹ: Tìm ra cách khiến tế bào ung thư tự hủy

8/1/2023 3:05:08 PM

Tế bào ung thư biến đổi để trở nên "bất tử" nhưng các nhà khoa học từ Đại học Stanford (Mỹ) đã thiết kế một loại phân tử nhỏ làm đảo ngược quá trình này.

Cẩn trọng với loại ung thư nguy hiểm nhưng có triệu chứng mơ hồ

7/31/2023 2:48:14 PM

Nữ bệnh nhân 44 tuổi bỗng thấy đau đầu nhiều, kéo dài khoảng 1 tháng, càng về sau cơn đau càng dữ dội kèm theo chóng mặt.

Sai lầm khi điều trị ung thư bằng thực dưỡng

7/28/2023 8:10:57 AM

Dù được giới chuyên môn cảnh báo, phương pháp thực dưỡng không thể điều trị hết bệnh ung thư hay bệnh mãn tính, song không ít người dân vẫn áp dụng thực dưỡng với mong muốn loại bỏ khối u.

Phát hiện yếu tố gây ung thư dạ dày mới, nhiều người mắc phải

7/19/2023 1:57:41 PM

Một loại vi khuẩn khá khó trị, thường gây đau bụng, đầy hơi, ợ chua... còn làm tăng đáng kể nguy cơ ung thư dạ dày - các nhà khoa học Nhật Bản vừa chứng minh.

Lý do đáng sợ khiến ung thư dạ dày đặc biệt phổ biến ở châu Á

7/5/2023 8:34:39 AM

Ung thư dạ dày là loại ung thư phổ biến thứ 5 thế giới và người châu Á có tỉ lệ mắc cao nhất. Các nhà khoa học Hàn Quốc và Trung Quốc đã phối hợp tìm ra nguyên nhân gây giật mình.

Gia tăng bệnh nhân trẻ tuổi mắc ung thư đại trực tràng

10/13/2023 7:52:36 AM

Ung thư đại trực tràng là loại ung thư phổ biến thứ 2 trên thế giới, chỉ sau ung thư phổi. Tại Việt Nam, thống kê cho thấy, mỗi năm ghi nhận gần 16.000 ca mắc mới và hơn 8.200 ca tử vong vì căn bệnh này.

Gánh nặng bệnh tật do bệnh không lây nhiễm rất lớn

9/22/2023 8:06:03 AM

Đây là nhấn mạnh của các đại biểu tại Hội thảo cung cấp thông tin cho báo chí về giải pháp phòng ngừa các bệnh không lây nhiễm do Bộ Thông tin -Truyền thông phối hợp với Tổ chức HealthBridge Canada tổ chức tại Hải Phòng từ ngày 20-22/9.

Phát hiện khả năng trị khỏi HIV của một loại thuốc sẵn có

8/31/2023 10:56:22 AM

Việc tìm ra khả năng tiêu diệt tế bào HIV "im lặng" của một loại thuốc trị ung thư hứa hẹn tạo ra bước ngoặt trong cuộc chiến chống HIV/AIDS.

Anh triển khai thuốc trị ung thư "7 phút" đầu tiên trên thế giới

8/30/2023 10:27:34 AM

Dịch vụ Y tế Quốc gia Anh (NHS) trở thành cơ quan y tế đầu tiên trên thế giới cung cấp thuốc điều trị cho bệnh nhân ung thư dưới hình thức đơn giản như một mũi tiêm vắc-xin.

Mỹ: Thử nghiệm thành công "thần dược" tiêu diệt 70 loại ung thư

8/2/2023 10:52:04 AM

Các nhà nghiên cứu từ Bệnh viện City of Hope (Los Angeles - Mỹ) tin tưởng rằng loại thuốc mới mà họ phát triển có thể tiêu diệt tất cả các khối u rắn trong bệnh ung thư.

Đột phá từ Mỹ: Tìm ra cách khiến tế bào ung thư tự hủy

8/1/2023 3:05:08 PM

Tế bào ung thư biến đổi để trở nên "bất tử" nhưng các nhà khoa học từ Đại học Stanford (Mỹ) đã thiết kế một loại phân tử nhỏ làm đảo ngược quá trình này.

Cẩn trọng với loại ung thư nguy hiểm nhưng có triệu chứng mơ hồ

7/31/2023 2:48:14 PM

Nữ bệnh nhân 44 tuổi bỗng thấy đau đầu nhiều, kéo dài khoảng 1 tháng, càng về sau cơn đau càng dữ dội kèm theo chóng mặt.

Sai lầm khi điều trị ung thư bằng thực dưỡng

7/28/2023 8:10:57 AM

Dù được giới chuyên môn cảnh báo, phương pháp thực dưỡng không thể điều trị hết bệnh ung thư hay bệnh mãn tính, song không ít người dân vẫn áp dụng thực dưỡng với mong muốn loại bỏ khối u.

Phát hiện yếu tố gây ung thư dạ dày mới, nhiều người mắc phải

7/19/2023 1:57:41 PM

Một loại vi khuẩn khá khó trị, thường gây đau bụng, đầy hơi, ợ chua... còn làm tăng đáng kể nguy cơ ung thư dạ dày - các nhà khoa học Nhật Bản vừa chứng minh.

Lý do đáng sợ khiến ung thư dạ dày đặc biệt phổ biến ở châu Á

7/5/2023 8:34:39 AM

Ung thư dạ dày là loại ung thư phổ biến thứ 5 thế giới và người châu Á có tỉ lệ mắc cao nhất. Các nhà khoa học Hàn Quốc và Trung Quốc đã phối hợp tìm ra nguyên nhân gây giật mình.

Gia tăng bệnh nhân trẻ tuổi mắc ung thư đại trực tràng

10/13/2023 7:52:36 AM

Ung thư đại trực tràng là loại ung thư phổ biến thứ 2 trên thế giới, chỉ sau ung thư phổi. Tại Việt Nam, thống kê cho thấy, mỗi năm ghi nhận gần 16.000 ca mắc mới và hơn 8.200 ca tử vong vì căn bệnh này.

Gánh nặng bệnh tật do bệnh không lây nhiễm rất lớn

9/22/2023 8:06:03 AM

Đây là nhấn mạnh của các đại biểu tại Hội thảo cung cấp thông tin cho báo chí về giải pháp phòng ngừa các bệnh không lây nhiễm do Bộ Thông tin -Truyền thông phối hợp với Tổ chức HealthBridge Canada tổ chức tại Hải Phòng từ ngày 20-22/9.

Phát hiện khả năng trị khỏi HIV của một loại thuốc sẵn có

8/31/2023 10:56:22 AM

Việc tìm ra khả năng tiêu diệt tế bào HIV "im lặng" của một loại thuốc trị ung thư hứa hẹn tạo ra bước ngoặt trong cuộc chiến chống HIV/AIDS.

Anh triển khai thuốc trị ung thư "7 phút" đầu tiên trên thế giới

8/30/2023 10:27:34 AM

Dịch vụ Y tế Quốc gia Anh (NHS) trở thành cơ quan y tế đầu tiên trên thế giới cung cấp thuốc điều trị cho bệnh nhân ung thư dưới hình thức đơn giản như một mũi tiêm vắc-xin.

Mỹ: Thử nghiệm thành công "thần dược" tiêu diệt 70 loại ung thư

8/2/2023 10:52:04 AM

Các nhà nghiên cứu từ Bệnh viện City of Hope (Los Angeles - Mỹ) tin tưởng rằng loại thuốc mới mà họ phát triển có thể tiêu diệt tất cả các khối u rắn trong bệnh ung thư.

Đột phá từ Mỹ: Tìm ra cách khiến tế bào ung thư tự hủy

8/1/2023 3:05:08 PM

Tế bào ung thư biến đổi để trở nên "bất tử" nhưng các nhà khoa học từ Đại học Stanford (Mỹ) đã thiết kế một loại phân tử nhỏ làm đảo ngược quá trình này.

Cẩn trọng với loại ung thư nguy hiểm nhưng có triệu chứng mơ hồ

7/31/2023 2:48:14 PM

Nữ bệnh nhân 44 tuổi bỗng thấy đau đầu nhiều, kéo dài khoảng 1 tháng, càng về sau cơn đau càng dữ dội kèm theo chóng mặt.

Sai lầm khi điều trị ung thư bằng thực dưỡng

7/28/2023 8:10:57 AM

Dù được giới chuyên môn cảnh báo, phương pháp thực dưỡng không thể điều trị hết bệnh ung thư hay bệnh mãn tính, song không ít người dân vẫn áp dụng thực dưỡng với mong muốn loại bỏ khối u.

Phát hiện yếu tố gây ung thư dạ dày mới, nhiều người mắc phải

7/19/2023 1:57:41 PM

Một loại vi khuẩn khá khó trị, thường gây đau bụng, đầy hơi, ợ chua... còn làm tăng đáng kể nguy cơ ung thư dạ dày - các nhà khoa học Nhật Bản vừa chứng minh.

Lý do đáng sợ khiến ung thư dạ dày đặc biệt phổ biến ở châu Á

7/5/2023 8:34:39 AM

Ung thư dạ dày là loại ung thư phổ biến thứ 5 thế giới và người châu Á có tỉ lệ mắc cao nhất. Các nhà khoa học Hàn Quốc và Trung Quốc đã phối hợp tìm ra nguyên nhân gây giật mình.