Kết quả tìm kiếm từ khóa: trẻ nhỏ

Nhiều dịch bệnh bủa vây trẻ nhỏ

3/5/2022 7:41:45 AM

Thời tiết giao mùa như hiện nay, không chỉ dịch Covid-19, một loạt dịch bệnh nguy hiểm đang bủa vây trẻ em. Sức đề kháng của trẻ còn kém, cộng với việc học sinh tiểu học chưa tiêm vaccine ngừa Covid-19 cũng là điều khiến nhiều phụ huynh lo lắng.

Thận trọng với dị ứng thực phẩm ở trẻ nhỏ

6/14/2021 2:46:43 PM

Trẻ dưới 3 tuổi có hệ miễn dịch và đường ruột còn non yếu nên rất dễ bị dị ứng với thức ăn. Thông thường, dị ứng thức ăn có các biểu hiện ở da như: ban đỏ, viêm da, nổi mề đay, chàm, đau bụng và rối loạn tiêu hóa.

Phòng tránh các bệnh về da trong mùa hè nắng nóng

6/11/2021 1:46:11 PM

Thời tiết nóng, ẩm thất thường cùng môi trường bụi băm tạo cơ hội cho vi khuẩn, virus phát triển. Đây là nguyên nhân làm gia tăng và phát triển nhiều bệnh về da mỗi khi hè về.

Nắng nóng, đề phòng bệnh ngoài da

5/28/2021 2:43:18 PM

Thời gian gần đây, nắng nóng bao phủ nhiều vùng trên cả nước và dự báo vẫn sẽ kéo dài.

Phòng bệnh về da khi nóng ẩm

5/21/2021 9:05:34 AM

Thời tiết chuyển mùa hè, có nhiều yếu tố ảnh hưởng trực tiếp tới da, gây phiền toái trong cuộc sống. TS. BS Nguyễn Lan Anh, Khoa Da liễu - Dị ứng,...

Cần chú ý phát hiện sớm bệnh tim bẩm sinh ở trẻ

5/17/2021 1:57:07 PM

Dị tật tim bẩm sinh có tỷ lệ mắc không cao, nhưng là loại dị tật gây ra nhiều hậu quả nặng nề nhất cho trẻ, thậm chí có thể khiến trẻ tử vong.

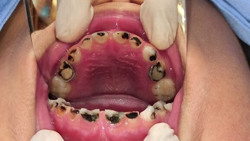
Nguyên nhân gây sâu răng ở trẻ và cách phòng tránh

5/14/2021 10:19:29 AM

Về cấu tạo, răng sữa của trẻ có men răng và ngà răng mỏng, yếu hơn răng của người lớn rất nhiều. Vì vậy rất dễ bị vi khuẩn tấn công hình thành lỗ sâu răng.

Đối phó với dị ứng thời tiết khi chuyển mùa

4/3/2021 9:17:22 AM

Ngứa, mẩn đỏ, nổi mề đay… là những biểu hiện của dị ứng thời tiết. Bệnh không chỉ ảnh hưởng tới sinh hoạt, học tập mà còn có thể tái phát thường xuyên.

Nhiều dịch bệnh nguy hiểm sắp ‘vào mùa’

4/1/2021 9:31:27 AM

Theo các chuyên gia, mỗi 4 năm, dịch sốt xuất huyết sẽ bùng phát mạnh hơn với số lượng bệnh nhân tăng lên đột biến.

Chủ động phòng các bệnh truyền nhiễm khi giao mùa

3/31/2021 9:47:21 AM

Vào thời điểm chuyển giao giữa mùa xuân và mùa hè, thời tiết nóng ẩm tạo điều kiện thuận lợi cho nhiều loại vi khuẩn, vi rút, các côn trùng truyền bệnh như ruồi, muỗi…

Nhiều dịch bệnh bủa vây trẻ nhỏ

3/5/2022 7:41:45 AM

Thời tiết giao mùa như hiện nay, không chỉ dịch Covid-19, một loạt dịch bệnh nguy hiểm đang bủa vây trẻ em. Sức đề kháng của trẻ còn kém, cộng với việc học sinh tiểu học chưa tiêm vaccine ngừa Covid-19 cũng là điều khiến nhiều phụ huynh lo lắng.

Thận trọng với dị ứng thực phẩm ở trẻ nhỏ

6/14/2021 2:46:43 PM

Trẻ dưới 3 tuổi có hệ miễn dịch và đường ruột còn non yếu nên rất dễ bị dị ứng với thức ăn. Thông thường, dị ứng thức ăn có các biểu hiện ở da như: ban đỏ, viêm da, nổi mề đay, chàm, đau bụng và rối loạn tiêu hóa.

Phòng tránh các bệnh về da trong mùa hè nắng nóng

6/11/2021 1:46:11 PM

Thời tiết nóng, ẩm thất thường cùng môi trường bụi băm tạo cơ hội cho vi khuẩn, virus phát triển. Đây là nguyên nhân làm gia tăng và phát triển nhiều bệnh về da mỗi khi hè về.

Nắng nóng, đề phòng bệnh ngoài da

5/28/2021 2:43:18 PM

Thời gian gần đây, nắng nóng bao phủ nhiều vùng trên cả nước và dự báo vẫn sẽ kéo dài.

Phòng bệnh về da khi nóng ẩm

5/21/2021 9:05:34 AM

Thời tiết chuyển mùa hè, có nhiều yếu tố ảnh hưởng trực tiếp tới da, gây phiền toái trong cuộc sống. TS. BS Nguyễn Lan Anh, Khoa Da liễu - Dị ứng,...

Cần chú ý phát hiện sớm bệnh tim bẩm sinh ở trẻ

5/17/2021 1:57:07 PM

Dị tật tim bẩm sinh có tỷ lệ mắc không cao, nhưng là loại dị tật gây ra nhiều hậu quả nặng nề nhất cho trẻ, thậm chí có thể khiến trẻ tử vong.

Nguyên nhân gây sâu răng ở trẻ và cách phòng tránh

5/14/2021 10:19:29 AM

Về cấu tạo, răng sữa của trẻ có men răng và ngà răng mỏng, yếu hơn răng của người lớn rất nhiều. Vì vậy rất dễ bị vi khuẩn tấn công hình thành lỗ sâu răng.

Đối phó với dị ứng thời tiết khi chuyển mùa

4/3/2021 9:17:22 AM

Ngứa, mẩn đỏ, nổi mề đay… là những biểu hiện của dị ứng thời tiết. Bệnh không chỉ ảnh hưởng tới sinh hoạt, học tập mà còn có thể tái phát thường xuyên.

Nhiều dịch bệnh nguy hiểm sắp ‘vào mùa’

4/1/2021 9:31:27 AM

Theo các chuyên gia, mỗi 4 năm, dịch sốt xuất huyết sẽ bùng phát mạnh hơn với số lượng bệnh nhân tăng lên đột biến.

Chủ động phòng các bệnh truyền nhiễm khi giao mùa

3/31/2021 9:47:21 AM

Vào thời điểm chuyển giao giữa mùa xuân và mùa hè, thời tiết nóng ẩm tạo điều kiện thuận lợi cho nhiều loại vi khuẩn, vi rút, các côn trùng truyền bệnh như ruồi, muỗi…

Nhiều dịch bệnh bủa vây trẻ nhỏ

3/5/2022 7:41:45 AM

Thời tiết giao mùa như hiện nay, không chỉ dịch Covid-19, một loạt dịch bệnh nguy hiểm đang bủa vây trẻ em. Sức đề kháng của trẻ còn kém, cộng với việc học sinh tiểu học chưa tiêm vaccine ngừa Covid-19 cũng là điều khiến nhiều phụ huynh lo lắng.

Thận trọng với dị ứng thực phẩm ở trẻ nhỏ

6/14/2021 2:46:43 PM

Trẻ dưới 3 tuổi có hệ miễn dịch và đường ruột còn non yếu nên rất dễ bị dị ứng với thức ăn. Thông thường, dị ứng thức ăn có các biểu hiện ở da như: ban đỏ, viêm da, nổi mề đay, chàm, đau bụng và rối loạn tiêu hóa.

Phòng tránh các bệnh về da trong mùa hè nắng nóng

6/11/2021 1:46:11 PM

Thời tiết nóng, ẩm thất thường cùng môi trường bụi băm tạo cơ hội cho vi khuẩn, virus phát triển. Đây là nguyên nhân làm gia tăng và phát triển nhiều bệnh về da mỗi khi hè về.

Nắng nóng, đề phòng bệnh ngoài da

5/28/2021 2:43:18 PM

Thời gian gần đây, nắng nóng bao phủ nhiều vùng trên cả nước và dự báo vẫn sẽ kéo dài.

Phòng bệnh về da khi nóng ẩm

5/21/2021 9:05:34 AM

Thời tiết chuyển mùa hè, có nhiều yếu tố ảnh hưởng trực tiếp tới da, gây phiền toái trong cuộc sống. TS. BS Nguyễn Lan Anh, Khoa Da liễu - Dị ứng,...

Cần chú ý phát hiện sớm bệnh tim bẩm sinh ở trẻ

5/17/2021 1:57:07 PM

Dị tật tim bẩm sinh có tỷ lệ mắc không cao, nhưng là loại dị tật gây ra nhiều hậu quả nặng nề nhất cho trẻ, thậm chí có thể khiến trẻ tử vong.

Nguyên nhân gây sâu răng ở trẻ và cách phòng tránh

5/14/2021 10:19:29 AM

Về cấu tạo, răng sữa của trẻ có men răng và ngà răng mỏng, yếu hơn răng của người lớn rất nhiều. Vì vậy rất dễ bị vi khuẩn tấn công hình thành lỗ sâu răng.

Đối phó với dị ứng thời tiết khi chuyển mùa

4/3/2021 9:17:22 AM

Ngứa, mẩn đỏ, nổi mề đay… là những biểu hiện của dị ứng thời tiết. Bệnh không chỉ ảnh hưởng tới sinh hoạt, học tập mà còn có thể tái phát thường xuyên.

Nhiều dịch bệnh nguy hiểm sắp ‘vào mùa’

4/1/2021 9:31:27 AM

Theo các chuyên gia, mỗi 4 năm, dịch sốt xuất huyết sẽ bùng phát mạnh hơn với số lượng bệnh nhân tăng lên đột biến.

Chủ động phòng các bệnh truyền nhiễm khi giao mùa

3/31/2021 9:47:21 AM

Vào thời điểm chuyển giao giữa mùa xuân và mùa hè, thời tiết nóng ẩm tạo điều kiện thuận lợi cho nhiều loại vi khuẩn, vi rút, các côn trùng truyền bệnh như ruồi, muỗi…

Nhiều dịch bệnh bủa vây trẻ nhỏ

3/5/2022 7:41:45 AM

Thời tiết giao mùa như hiện nay, không chỉ dịch Covid-19, một loạt dịch bệnh nguy hiểm đang bủa vây trẻ em. Sức đề kháng của trẻ còn kém, cộng với việc học sinh tiểu học chưa tiêm vaccine ngừa Covid-19 cũng là điều khiến nhiều phụ huynh lo lắng.

Thận trọng với dị ứng thực phẩm ở trẻ nhỏ

6/14/2021 2:46:43 PM

Trẻ dưới 3 tuổi có hệ miễn dịch và đường ruột còn non yếu nên rất dễ bị dị ứng với thức ăn. Thông thường, dị ứng thức ăn có các biểu hiện ở da như: ban đỏ, viêm da, nổi mề đay, chàm, đau bụng và rối loạn tiêu hóa.

Phòng tránh các bệnh về da trong mùa hè nắng nóng

6/11/2021 1:46:11 PM

Thời tiết nóng, ẩm thất thường cùng môi trường bụi băm tạo cơ hội cho vi khuẩn, virus phát triển. Đây là nguyên nhân làm gia tăng và phát triển nhiều bệnh về da mỗi khi hè về.

Nắng nóng, đề phòng bệnh ngoài da

5/28/2021 2:43:18 PM

Thời gian gần đây, nắng nóng bao phủ nhiều vùng trên cả nước và dự báo vẫn sẽ kéo dài.

Phòng bệnh về da khi nóng ẩm

5/21/2021 9:05:34 AM

Thời tiết chuyển mùa hè, có nhiều yếu tố ảnh hưởng trực tiếp tới da, gây phiền toái trong cuộc sống. TS. BS Nguyễn Lan Anh, Khoa Da liễu - Dị ứng,...

Cần chú ý phát hiện sớm bệnh tim bẩm sinh ở trẻ

5/17/2021 1:57:07 PM

Dị tật tim bẩm sinh có tỷ lệ mắc không cao, nhưng là loại dị tật gây ra nhiều hậu quả nặng nề nhất cho trẻ, thậm chí có thể khiến trẻ tử vong.

Nguyên nhân gây sâu răng ở trẻ và cách phòng tránh

5/14/2021 10:19:29 AM

Về cấu tạo, răng sữa của trẻ có men răng và ngà răng mỏng, yếu hơn răng của người lớn rất nhiều. Vì vậy rất dễ bị vi khuẩn tấn công hình thành lỗ sâu răng.

Đối phó với dị ứng thời tiết khi chuyển mùa

4/3/2021 9:17:22 AM

Ngứa, mẩn đỏ, nổi mề đay… là những biểu hiện của dị ứng thời tiết. Bệnh không chỉ ảnh hưởng tới sinh hoạt, học tập mà còn có thể tái phát thường xuyên.

Nhiều dịch bệnh nguy hiểm sắp ‘vào mùa’

4/1/2021 9:31:27 AM

Theo các chuyên gia, mỗi 4 năm, dịch sốt xuất huyết sẽ bùng phát mạnh hơn với số lượng bệnh nhân tăng lên đột biến.

Chủ động phòng các bệnh truyền nhiễm khi giao mùa

3/31/2021 9:47:21 AM

Vào thời điểm chuyển giao giữa mùa xuân và mùa hè, thời tiết nóng ẩm tạo điều kiện thuận lợi cho nhiều loại vi khuẩn, vi rút, các côn trùng truyền bệnh như ruồi, muỗi…

Nhiều dịch bệnh bủa vây trẻ nhỏ

3/5/2022 7:41:45 AM

Thời tiết giao mùa như hiện nay, không chỉ dịch Covid-19, một loạt dịch bệnh nguy hiểm đang bủa vây trẻ em. Sức đề kháng của trẻ còn kém, cộng với việc học sinh tiểu học chưa tiêm vaccine ngừa Covid-19 cũng là điều khiến nhiều phụ huynh lo lắng.

Thận trọng với dị ứng thực phẩm ở trẻ nhỏ

6/14/2021 2:46:43 PM

Trẻ dưới 3 tuổi có hệ miễn dịch và đường ruột còn non yếu nên rất dễ bị dị ứng với thức ăn. Thông thường, dị ứng thức ăn có các biểu hiện ở da như: ban đỏ, viêm da, nổi mề đay, chàm, đau bụng và rối loạn tiêu hóa.

Phòng tránh các bệnh về da trong mùa hè nắng nóng

6/11/2021 1:46:11 PM

Thời tiết nóng, ẩm thất thường cùng môi trường bụi băm tạo cơ hội cho vi khuẩn, virus phát triển. Đây là nguyên nhân làm gia tăng và phát triển nhiều bệnh về da mỗi khi hè về.

Nắng nóng, đề phòng bệnh ngoài da

5/28/2021 2:43:18 PM

Thời gian gần đây, nắng nóng bao phủ nhiều vùng trên cả nước và dự báo vẫn sẽ kéo dài.

Phòng bệnh về da khi nóng ẩm

5/21/2021 9:05:34 AM

Thời tiết chuyển mùa hè, có nhiều yếu tố ảnh hưởng trực tiếp tới da, gây phiền toái trong cuộc sống. TS. BS Nguyễn Lan Anh, Khoa Da liễu - Dị ứng,...

Cần chú ý phát hiện sớm bệnh tim bẩm sinh ở trẻ

5/17/2021 1:57:07 PM

Dị tật tim bẩm sinh có tỷ lệ mắc không cao, nhưng là loại dị tật gây ra nhiều hậu quả nặng nề nhất cho trẻ, thậm chí có thể khiến trẻ tử vong.

Nguyên nhân gây sâu răng ở trẻ và cách phòng tránh

5/14/2021 10:19:29 AM

Về cấu tạo, răng sữa của trẻ có men răng và ngà răng mỏng, yếu hơn răng của người lớn rất nhiều. Vì vậy rất dễ bị vi khuẩn tấn công hình thành lỗ sâu răng.

Đối phó với dị ứng thời tiết khi chuyển mùa

4/3/2021 9:17:22 AM

Ngứa, mẩn đỏ, nổi mề đay… là những biểu hiện của dị ứng thời tiết. Bệnh không chỉ ảnh hưởng tới sinh hoạt, học tập mà còn có thể tái phát thường xuyên.

Nhiều dịch bệnh nguy hiểm sắp ‘vào mùa’

4/1/2021 9:31:27 AM

Theo các chuyên gia, mỗi 4 năm, dịch sốt xuất huyết sẽ bùng phát mạnh hơn với số lượng bệnh nhân tăng lên đột biến.

Chủ động phòng các bệnh truyền nhiễm khi giao mùa

3/31/2021 9:47:21 AM

Vào thời điểm chuyển giao giữa mùa xuân và mùa hè, thời tiết nóng ẩm tạo điều kiện thuận lợi cho nhiều loại vi khuẩn, vi rút, các côn trùng truyền bệnh như ruồi, muỗi…

Nhiều dịch bệnh bủa vây trẻ nhỏ

3/5/2022 7:41:45 AM

Thời tiết giao mùa như hiện nay, không chỉ dịch Covid-19, một loạt dịch bệnh nguy hiểm đang bủa vây trẻ em. Sức đề kháng của trẻ còn kém, cộng với việc học sinh tiểu học chưa tiêm vaccine ngừa Covid-19 cũng là điều khiến nhiều phụ huynh lo lắng.

Thận trọng với dị ứng thực phẩm ở trẻ nhỏ

6/14/2021 2:46:43 PM

Trẻ dưới 3 tuổi có hệ miễn dịch và đường ruột còn non yếu nên rất dễ bị dị ứng với thức ăn. Thông thường, dị ứng thức ăn có các biểu hiện ở da như: ban đỏ, viêm da, nổi mề đay, chàm, đau bụng và rối loạn tiêu hóa.

Phòng tránh các bệnh về da trong mùa hè nắng nóng

6/11/2021 1:46:11 PM

Thời tiết nóng, ẩm thất thường cùng môi trường bụi băm tạo cơ hội cho vi khuẩn, virus phát triển. Đây là nguyên nhân làm gia tăng và phát triển nhiều bệnh về da mỗi khi hè về.

Nắng nóng, đề phòng bệnh ngoài da

5/28/2021 2:43:18 PM

Thời gian gần đây, nắng nóng bao phủ nhiều vùng trên cả nước và dự báo vẫn sẽ kéo dài.

Phòng bệnh về da khi nóng ẩm

5/21/2021 9:05:34 AM

Thời tiết chuyển mùa hè, có nhiều yếu tố ảnh hưởng trực tiếp tới da, gây phiền toái trong cuộc sống. TS. BS Nguyễn Lan Anh, Khoa Da liễu - Dị ứng,...

Cần chú ý phát hiện sớm bệnh tim bẩm sinh ở trẻ

5/17/2021 1:57:07 PM

Dị tật tim bẩm sinh có tỷ lệ mắc không cao, nhưng là loại dị tật gây ra nhiều hậu quả nặng nề nhất cho trẻ, thậm chí có thể khiến trẻ tử vong.

Nguyên nhân gây sâu răng ở trẻ và cách phòng tránh

5/14/2021 10:19:29 AM

Về cấu tạo, răng sữa của trẻ có men răng và ngà răng mỏng, yếu hơn răng của người lớn rất nhiều. Vì vậy rất dễ bị vi khuẩn tấn công hình thành lỗ sâu răng.

Đối phó với dị ứng thời tiết khi chuyển mùa

4/3/2021 9:17:22 AM

Ngứa, mẩn đỏ, nổi mề đay… là những biểu hiện của dị ứng thời tiết. Bệnh không chỉ ảnh hưởng tới sinh hoạt, học tập mà còn có thể tái phát thường xuyên.

Nhiều dịch bệnh nguy hiểm sắp ‘vào mùa’

4/1/2021 9:31:27 AM

Theo các chuyên gia, mỗi 4 năm, dịch sốt xuất huyết sẽ bùng phát mạnh hơn với số lượng bệnh nhân tăng lên đột biến.

Chủ động phòng các bệnh truyền nhiễm khi giao mùa

3/31/2021 9:47:21 AM

Vào thời điểm chuyển giao giữa mùa xuân và mùa hè, thời tiết nóng ẩm tạo điều kiện thuận lợi cho nhiều loại vi khuẩn, vi rút, các côn trùng truyền bệnh như ruồi, muỗi…

Nhiều dịch bệnh bủa vây trẻ nhỏ

3/5/2022 7:41:45 AM

Thời tiết giao mùa như hiện nay, không chỉ dịch Covid-19, một loạt dịch bệnh nguy hiểm đang bủa vây trẻ em. Sức đề kháng của trẻ còn kém, cộng với việc học sinh tiểu học chưa tiêm vaccine ngừa Covid-19 cũng là điều khiến nhiều phụ huynh lo lắng.

Thận trọng với dị ứng thực phẩm ở trẻ nhỏ

6/14/2021 2:46:43 PM

Trẻ dưới 3 tuổi có hệ miễn dịch và đường ruột còn non yếu nên rất dễ bị dị ứng với thức ăn. Thông thường, dị ứng thức ăn có các biểu hiện ở da như: ban đỏ, viêm da, nổi mề đay, chàm, đau bụng và rối loạn tiêu hóa.

Phòng tránh các bệnh về da trong mùa hè nắng nóng

6/11/2021 1:46:11 PM

Thời tiết nóng, ẩm thất thường cùng môi trường bụi băm tạo cơ hội cho vi khuẩn, virus phát triển. Đây là nguyên nhân làm gia tăng và phát triển nhiều bệnh về da mỗi khi hè về.

Nắng nóng, đề phòng bệnh ngoài da

5/28/2021 2:43:18 PM

Thời gian gần đây, nắng nóng bao phủ nhiều vùng trên cả nước và dự báo vẫn sẽ kéo dài.

Phòng bệnh về da khi nóng ẩm

5/21/2021 9:05:34 AM

Thời tiết chuyển mùa hè, có nhiều yếu tố ảnh hưởng trực tiếp tới da, gây phiền toái trong cuộc sống. TS. BS Nguyễn Lan Anh, Khoa Da liễu - Dị ứng,...

Cần chú ý phát hiện sớm bệnh tim bẩm sinh ở trẻ

5/17/2021 1:57:07 PM

Dị tật tim bẩm sinh có tỷ lệ mắc không cao, nhưng là loại dị tật gây ra nhiều hậu quả nặng nề nhất cho trẻ, thậm chí có thể khiến trẻ tử vong.

Nguyên nhân gây sâu răng ở trẻ và cách phòng tránh

5/14/2021 10:19:29 AM

Về cấu tạo, răng sữa của trẻ có men răng và ngà răng mỏng, yếu hơn răng của người lớn rất nhiều. Vì vậy rất dễ bị vi khuẩn tấn công hình thành lỗ sâu răng.

Đối phó với dị ứng thời tiết khi chuyển mùa

4/3/2021 9:17:22 AM

Ngứa, mẩn đỏ, nổi mề đay… là những biểu hiện của dị ứng thời tiết. Bệnh không chỉ ảnh hưởng tới sinh hoạt, học tập mà còn có thể tái phát thường xuyên.

Nhiều dịch bệnh nguy hiểm sắp ‘vào mùa’

4/1/2021 9:31:27 AM

Theo các chuyên gia, mỗi 4 năm, dịch sốt xuất huyết sẽ bùng phát mạnh hơn với số lượng bệnh nhân tăng lên đột biến.

Chủ động phòng các bệnh truyền nhiễm khi giao mùa

3/31/2021 9:47:21 AM

Vào thời điểm chuyển giao giữa mùa xuân và mùa hè, thời tiết nóng ẩm tạo điều kiện thuận lợi cho nhiều loại vi khuẩn, vi rút, các côn trùng truyền bệnh như ruồi, muỗi…

Nhiều dịch bệnh bủa vây trẻ nhỏ

3/5/2022 7:41:45 AM

Thời tiết giao mùa như hiện nay, không chỉ dịch Covid-19, một loạt dịch bệnh nguy hiểm đang bủa vây trẻ em. Sức đề kháng của trẻ còn kém, cộng với việc học sinh tiểu học chưa tiêm vaccine ngừa Covid-19 cũng là điều khiến nhiều phụ huynh lo lắng.

Thận trọng với dị ứng thực phẩm ở trẻ nhỏ

6/14/2021 2:46:43 PM

Trẻ dưới 3 tuổi có hệ miễn dịch và đường ruột còn non yếu nên rất dễ bị dị ứng với thức ăn. Thông thường, dị ứng thức ăn có các biểu hiện ở da như: ban đỏ, viêm da, nổi mề đay, chàm, đau bụng và rối loạn tiêu hóa.

Phòng tránh các bệnh về da trong mùa hè nắng nóng

6/11/2021 1:46:11 PM

Thời tiết nóng, ẩm thất thường cùng môi trường bụi băm tạo cơ hội cho vi khuẩn, virus phát triển. Đây là nguyên nhân làm gia tăng và phát triển nhiều bệnh về da mỗi khi hè về.

Nắng nóng, đề phòng bệnh ngoài da

5/28/2021 2:43:18 PM

Thời gian gần đây, nắng nóng bao phủ nhiều vùng trên cả nước và dự báo vẫn sẽ kéo dài.

Phòng bệnh về da khi nóng ẩm

5/21/2021 9:05:34 AM

Thời tiết chuyển mùa hè, có nhiều yếu tố ảnh hưởng trực tiếp tới da, gây phiền toái trong cuộc sống. TS. BS Nguyễn Lan Anh, Khoa Da liễu - Dị ứng,...

Cần chú ý phát hiện sớm bệnh tim bẩm sinh ở trẻ

5/17/2021 1:57:07 PM

Dị tật tim bẩm sinh có tỷ lệ mắc không cao, nhưng là loại dị tật gây ra nhiều hậu quả nặng nề nhất cho trẻ, thậm chí có thể khiến trẻ tử vong.

Nguyên nhân gây sâu răng ở trẻ và cách phòng tránh

5/14/2021 10:19:29 AM

Về cấu tạo, răng sữa của trẻ có men răng và ngà răng mỏng, yếu hơn răng của người lớn rất nhiều. Vì vậy rất dễ bị vi khuẩn tấn công hình thành lỗ sâu răng.

Đối phó với dị ứng thời tiết khi chuyển mùa

4/3/2021 9:17:22 AM

Ngứa, mẩn đỏ, nổi mề đay… là những biểu hiện của dị ứng thời tiết. Bệnh không chỉ ảnh hưởng tới sinh hoạt, học tập mà còn có thể tái phát thường xuyên.

Nhiều dịch bệnh nguy hiểm sắp ‘vào mùa’

4/1/2021 9:31:27 AM

Theo các chuyên gia, mỗi 4 năm, dịch sốt xuất huyết sẽ bùng phát mạnh hơn với số lượng bệnh nhân tăng lên đột biến.

Chủ động phòng các bệnh truyền nhiễm khi giao mùa

3/31/2021 9:47:21 AM

Vào thời điểm chuyển giao giữa mùa xuân và mùa hè, thời tiết nóng ẩm tạo điều kiện thuận lợi cho nhiều loại vi khuẩn, vi rút, các côn trùng truyền bệnh như ruồi, muỗi…

Nhiều dịch bệnh bủa vây trẻ nhỏ

3/5/2022 7:41:45 AM

Thời tiết giao mùa như hiện nay, không chỉ dịch Covid-19, một loạt dịch bệnh nguy hiểm đang bủa vây trẻ em. Sức đề kháng của trẻ còn kém, cộng với việc học sinh tiểu học chưa tiêm vaccine ngừa Covid-19 cũng là điều khiến nhiều phụ huynh lo lắng.

Thận trọng với dị ứng thực phẩm ở trẻ nhỏ

6/14/2021 2:46:43 PM

Trẻ dưới 3 tuổi có hệ miễn dịch và đường ruột còn non yếu nên rất dễ bị dị ứng với thức ăn. Thông thường, dị ứng thức ăn có các biểu hiện ở da như: ban đỏ, viêm da, nổi mề đay, chàm, đau bụng và rối loạn tiêu hóa.

Phòng tránh các bệnh về da trong mùa hè nắng nóng

6/11/2021 1:46:11 PM

Thời tiết nóng, ẩm thất thường cùng môi trường bụi băm tạo cơ hội cho vi khuẩn, virus phát triển. Đây là nguyên nhân làm gia tăng và phát triển nhiều bệnh về da mỗi khi hè về.

Nắng nóng, đề phòng bệnh ngoài da

5/28/2021 2:43:18 PM

Thời gian gần đây, nắng nóng bao phủ nhiều vùng trên cả nước và dự báo vẫn sẽ kéo dài.

Phòng bệnh về da khi nóng ẩm

5/21/2021 9:05:34 AM

Thời tiết chuyển mùa hè, có nhiều yếu tố ảnh hưởng trực tiếp tới da, gây phiền toái trong cuộc sống. TS. BS Nguyễn Lan Anh, Khoa Da liễu - Dị ứng,...

Cần chú ý phát hiện sớm bệnh tim bẩm sinh ở trẻ

5/17/2021 1:57:07 PM

Dị tật tim bẩm sinh có tỷ lệ mắc không cao, nhưng là loại dị tật gây ra nhiều hậu quả nặng nề nhất cho trẻ, thậm chí có thể khiến trẻ tử vong.

Nguyên nhân gây sâu răng ở trẻ và cách phòng tránh

5/14/2021 10:19:29 AM

Về cấu tạo, răng sữa của trẻ có men răng và ngà răng mỏng, yếu hơn răng của người lớn rất nhiều. Vì vậy rất dễ bị vi khuẩn tấn công hình thành lỗ sâu răng.

Đối phó với dị ứng thời tiết khi chuyển mùa

4/3/2021 9:17:22 AM

Ngứa, mẩn đỏ, nổi mề đay… là những biểu hiện của dị ứng thời tiết. Bệnh không chỉ ảnh hưởng tới sinh hoạt, học tập mà còn có thể tái phát thường xuyên.

Nhiều dịch bệnh nguy hiểm sắp ‘vào mùa’

4/1/2021 9:31:27 AM

Theo các chuyên gia, mỗi 4 năm, dịch sốt xuất huyết sẽ bùng phát mạnh hơn với số lượng bệnh nhân tăng lên đột biến.

Chủ động phòng các bệnh truyền nhiễm khi giao mùa

3/31/2021 9:47:21 AM

Vào thời điểm chuyển giao giữa mùa xuân và mùa hè, thời tiết nóng ẩm tạo điều kiện thuận lợi cho nhiều loại vi khuẩn, vi rút, các côn trùng truyền bệnh như ruồi, muỗi…

Nhiều dịch bệnh bủa vây trẻ nhỏ

3/5/2022 7:41:45 AM

Thời tiết giao mùa như hiện nay, không chỉ dịch Covid-19, một loạt dịch bệnh nguy hiểm đang bủa vây trẻ em. Sức đề kháng của trẻ còn kém, cộng với việc học sinh tiểu học chưa tiêm vaccine ngừa Covid-19 cũng là điều khiến nhiều phụ huynh lo lắng.

Thận trọng với dị ứng thực phẩm ở trẻ nhỏ

6/14/2021 2:46:43 PM

Trẻ dưới 3 tuổi có hệ miễn dịch và đường ruột còn non yếu nên rất dễ bị dị ứng với thức ăn. Thông thường, dị ứng thức ăn có các biểu hiện ở da như: ban đỏ, viêm da, nổi mề đay, chàm, đau bụng và rối loạn tiêu hóa.

Phòng tránh các bệnh về da trong mùa hè nắng nóng

6/11/2021 1:46:11 PM

Thời tiết nóng, ẩm thất thường cùng môi trường bụi băm tạo cơ hội cho vi khuẩn, virus phát triển. Đây là nguyên nhân làm gia tăng và phát triển nhiều bệnh về da mỗi khi hè về.

Nắng nóng, đề phòng bệnh ngoài da

5/28/2021 2:43:18 PM

Thời gian gần đây, nắng nóng bao phủ nhiều vùng trên cả nước và dự báo vẫn sẽ kéo dài.

Phòng bệnh về da khi nóng ẩm

5/21/2021 9:05:34 AM

Thời tiết chuyển mùa hè, có nhiều yếu tố ảnh hưởng trực tiếp tới da, gây phiền toái trong cuộc sống. TS. BS Nguyễn Lan Anh, Khoa Da liễu - Dị ứng,...

Cần chú ý phát hiện sớm bệnh tim bẩm sinh ở trẻ

5/17/2021 1:57:07 PM

Dị tật tim bẩm sinh có tỷ lệ mắc không cao, nhưng là loại dị tật gây ra nhiều hậu quả nặng nề nhất cho trẻ, thậm chí có thể khiến trẻ tử vong.

Nguyên nhân gây sâu răng ở trẻ và cách phòng tránh

5/14/2021 10:19:29 AM

Về cấu tạo, răng sữa của trẻ có men răng và ngà răng mỏng, yếu hơn răng của người lớn rất nhiều. Vì vậy rất dễ bị vi khuẩn tấn công hình thành lỗ sâu răng.

Đối phó với dị ứng thời tiết khi chuyển mùa

4/3/2021 9:17:22 AM

Ngứa, mẩn đỏ, nổi mề đay… là những biểu hiện của dị ứng thời tiết. Bệnh không chỉ ảnh hưởng tới sinh hoạt, học tập mà còn có thể tái phát thường xuyên.

Nhiều dịch bệnh nguy hiểm sắp ‘vào mùa’

4/1/2021 9:31:27 AM

Theo các chuyên gia, mỗi 4 năm, dịch sốt xuất huyết sẽ bùng phát mạnh hơn với số lượng bệnh nhân tăng lên đột biến.

Chủ động phòng các bệnh truyền nhiễm khi giao mùa

3/31/2021 9:47:21 AM

Vào thời điểm chuyển giao giữa mùa xuân và mùa hè, thời tiết nóng ẩm tạo điều kiện thuận lợi cho nhiều loại vi khuẩn, vi rút, các côn trùng truyền bệnh như ruồi, muỗi…