Nha khoa Việt Mỹ: Giải pháp răng sứ thẩm mỹ cho nụ cười tự nhiên
Thứ sáu , 13/03/2026 16:20
Thứ sáu , 13/03/2026 16:20
Bọc răng sứ là giải pháp thẩm mỹ nha khoa được nhiều người lựa chọn để cải thiện nụ cười và khắc phục các khuyết điểm của răng. Tuy nhiên, trước khi thực hiện, không ít người vẫn băn khoăn bọc răng sứ có bền không và liệu phương pháp này có đảm bảo khả năng ăn nhai lâu dài hay không.
Bọc răng sứ là phương pháp phục hình sử dụng mão sứ phủ bên ngoài răng thật đã được xử lý. Lớp mão này giúp cải thiện hình dáng, màu sắc và độ đều của răng.
Phương pháp này thường được áp dụng khi răng bị sứt mẻ, răng thưa, răng nhiễm màu kháng sinh, răng sâu hoặc răng có hình dáng không đều.
Bọc răng sứ có bền không là câu hỏi được nhiều người quan tâm trước khi quyết định làm răng sứ. Thực tế, độ bền của răng sứ phụ thuộc vào nhiều yếu tố khác nhau:
Răng sứ được chia thành hai nhóm phổ biến: răng sứ kim loại và răng toàn sứ. Trong đó, răng toàn sứ được đánh giá cao hơn nhờ độ bền, tính thẩm mỹ và khả năng tương thích sinh học tốt.
Nếu sử dụng vật liệu chính hãng và được chế tác đúng kỹ thuật, răng sứ có thể sử dụng từ 10–20 năm hoặc lâu hơn.
Kỹ thuật mài răng, lấy dấu và gắn mão sứ đòi hỏi độ chính xác cao. Bác sĩ có kinh nghiệm sẽ đảm bảo mão sứ ôm sát cùi răng, khớp cắn chuẩn và hạn chế tối đa các vấn đề như cộm cấn, viêm nướu hoặc hở viền.
Hệ thống máy móc hiện đại như máy scan 3D, CT Cone Beam hay hệ thống labo chế tác răng sứ giúp tăng độ chính xác trong quá trình phục hình, từ đó nâng cao độ bền và tính ổn định của răng sứ.
Hệ thống vô trùng được Nha khoa Việt Mỹ đầu tư chỉn chu
Trong số các cơ sở nha khoa hiện nay, Nha khoa Việt Mỹ là một trong những địa chỉ được nhiều khách hàng lựa chọn khi có nhu cầu phục hình răng sứ thẩm mỹ.
Phòng khám đầu tư hệ thống trang thiết bị hiện đại, kết hợp cùng đội ngũ bác sĩ có nhiều năm kinh nghiệm trong lĩnh vực nha khoa thẩm mỹ. Nhờ đó, quy trình bọc răng sứ được thực hiện theo tiêu chuẩn y khoa, đảm bảo an toàn và hạn chế cảm giác khó chịu cho khách hàng.
Tại đây, khách hàng được thăm khám kỹ lưỡng trước khi thực hiện. Bác sĩ sẽ đánh giá tình trạng răng miệng, tư vấn loại răng sứ phù hợp và thiết kế dáng răng hài hòa với khuôn mặt.
Ngoài yếu tố chuyên môn, Nha khoa Việt Mỹ cũng chú trọng trải nghiệm dịch vụ. Từ khâu tư vấn, điều trị đến chăm sóc sau phục hình đều được xây dựng theo quy trình chuyên nghiệp, giúp khách hàng an tâm trong suốt quá trình điều trị.
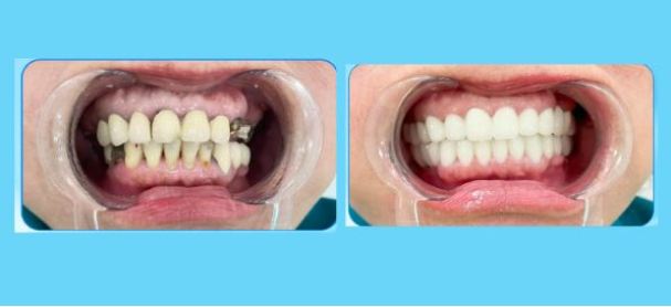
Hình ảnh trước và sau của khách hàng sau khi bọc răng sứ tại Nha khoa Việt Mỹ
Để đảm bảo hiệu quả thẩm mỹ cũng như độ bền lâu dài của răng sứ, quy trình bọc răng sứ tại Nha khoa Việt Mỹ thường được thực hiện theo các bước cơ bản:
Bước 1: Thăm khám, đánh giá và vệ sinh răng miệng
Bác sĩ kiểm tra tình trạng răng miệng, phát hiện các bệnh lý như sâu răng, viêm nha chu hoặc viêm tủy nếu có. Khách hàng được làm sạch răng miệng, cạo vôi răng và điều trị các vấn đề cần thiết trước khi phục hình.
Bước 2: Mài răng và lấy dấu răng
Răng được mài theo tỷ lệ phù hợp để tạo cùi răng, sau đó lấy dấu răng nhằm chế tác mão sứ chính xác.
Bước 3: Gắn răng sứ tạm và thử khớp cắn
Trong thời gian chờ răng sứ hoàn thiện, khách hàng sẽ sử dụng răng tạm để đảm bảo thẩm mỹ và chức năng ăn nhai.
Bước 4: Gắn răng sứ cố định
Sau khi kiểm tra màu sắc, độ khít và khớp cắn, bác sĩ tiến hành gắn răng sứ vĩnh viễn.
Bước 5: Hướng dẫn chăm sóc và tái khám
Khách hàng được hướng dẫn vệ sinh răng miệng đúng cách và tái khám định kỳ để đảm bảo răng sứ luôn ổn định.
Bọc răng sứ không chỉ là một phương pháp thẩm mỹ mà còn liên quan trực tiếp đến sức khỏe răng miệng lâu dài. Vì vậy, khi tìm hiểu bọc răng sứ, yếu tố quan trọng nhất vẫn là lựa chọn cơ sở nha khoa uy tín, bác sĩ có chuyên môn và hệ thống công nghệ hiện đại.
Với sự đầu tư về trang thiết bị, đội ngũ bác sĩ giàu kinh nghiệm cùng quy trình điều trị chuẩn y khoa, Nha khoa Việt Mỹ mang lại cho khách hàng những giải pháp phục hình răng sứ an toàn, thẩm mỹ và bền vững theo thời gian.
Nha khoa Việt Mỹ là địa chỉ bọc răng toàn sứ uy tín hiện nay
|
Thông tin liên hệ: - Website: https://nhakhoavietmy.com.vn/ - Fanpage: https://www.facebook.com/NhaKhoaVietMy.TruSoChinh - Địa chỉ trụ sở chính: 1298 Huỳnh Tấn Phát, P. Tân Mỹ, TP. HCM - Số điện thoại: 1900 636 734 - Email: cskh@nhakhoavietmy.com.vn |